Software for Magnetic Resonance Imaging

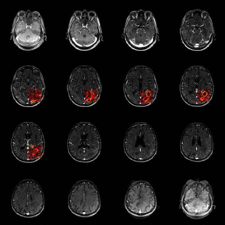
Estimated Ktrans values for a subject in the RIDER Neuro MRI collection from The Cancer Imaging Archive (TCIA)

R packages for working with DCE-MRI data:

  • dcemriS4: R package for the quantitative analysis of dynamic contrast-enhanced MRI (DCE-MRI) and diffusion-weighted imaging (DWI) for oncology applications. It provides methods for fitting voxel-wise kinetic models using Levenberg-Marquardt and using a Bayesian framework. Several kinetic models and arterial input functions are available.
  • oro.nifti: Functions for the input/output and visualization of medical imaging data that follow either the ANALYZE, NIfTI or AFNI formats.
  • cmR: cmR: cardiac magnetic resonance imaging in R
  • dcemri.SpatEnet: Analysing DCE-MRI using a spatially regularized Elastic Net.
  • dcemriboost: Voxelwise and spatially regularized boosting for DCE-MRI data.
  • adaptsmoFMRI: Adaptive smoothing of fMRI data.
Avatar
Volker J Schmid
Professor for Bayesian Imaging and Spatial Statistics

Volker J Schmid ist Professor für Statistik mit Schwerpunkt Bayesianische Statistik für räumliche und Bilddaten.